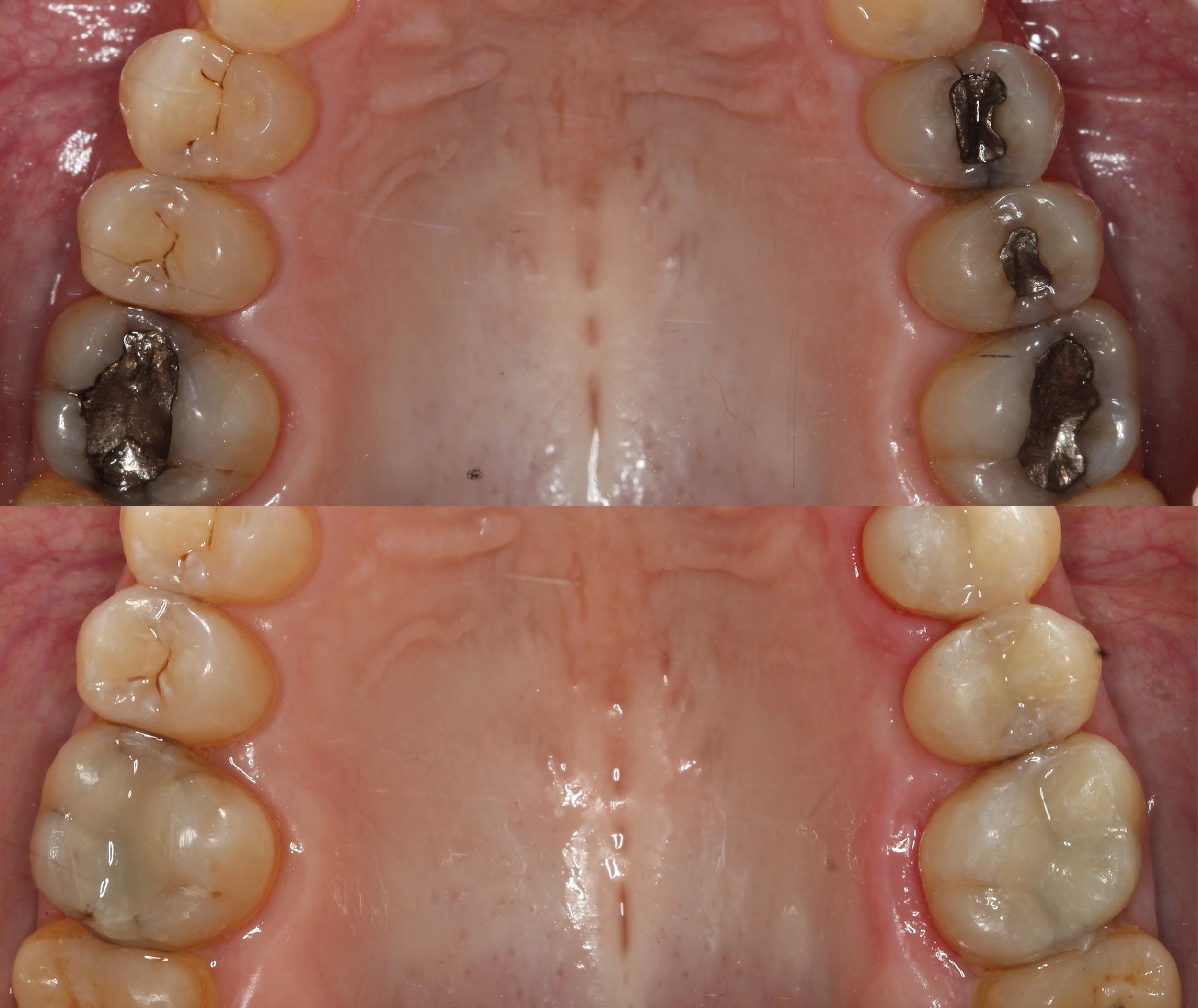
Las obturaciones de amalgama de plata, están formadas por alrededor de un 50% de mercurio , y el otro 50% es una aleación con otros metales como plata, cobre, estaño y zinc. Como explicamos en el post anterior, el mercurio es tóxico y sus vapores también, lo que puede representar un peligro para la salud. Éste, se absorbe y se retiene en órganos como cerebro, riñón, hígado, pulmón y tracto gastrointestinal.




Es por ello, que en Kimo aplicamos técnicas especiales para eliminar este tipo de empastes de forma segura, y sustituirlos por empastes “blancos” con el menor grado de toxicidad, utilizando resinas compuestas libres de bisfenol A o Bis-GMA en nuestras restauraciones dentales. Además, evitamos el uso materiales metálicos y/o irritantes, y se comprueba cuáles serían los más adecuados y biocompatibles para cada paciente, personalizando cada tratamiento.
Estas técnicas para la eliminación de amalgamas, están basadas en las recomendaciones de la IAOMT (Academia Internacional de Medicina Oral y Toxicología) y se conocen con las siglas del inglés, SMART (Técnica de Eliminación Segura de Amalgamas de Mercurio).
Consisten en una serie de pautas y medidas de protección que se actualizan regularmente, os las presentamos a continuación:
PROTECCIÓN EN LA CONSULTA DENTAL Y EL MEDIO AMBIENTE:
• Se debe contar con un separador de amalgama instalado en la unidad principal de aspiración del sillón dental, de esta forma protegemos el medio ambiente al evitar que el mercurio se libere en el sistema de canalizado.
• El gabinete dónde se va a eliminar la obturación de mercurio, debe tener un sistema de ventilación y filtración de aire de alto volumen y un aspirador de aerosol oral, capaces de eliminar el vapor de mercurio y las partículas que podrían generarse durante la extracción de estas obturaciones.
EL PACIENTE Y EL PERSONAL DENTAL:
• El/la paciente, habrá seguido un protocolo previo de quelación y desintoxicación de metales pesados según las recomendaciones del doctor; además, inmediatamente antes de comenzar el tratamiento, se le administra al paciente carbón vegetal vía oral y, al finalizar el mismo, se enjuagará con una disolución del mismo carbón vegetal.
• Dentista, higienista y paciente, llevarán batas y gorros protectores. Dentista e higienista protegerán, además: sus manos, con guantes de nitrilo; su cara, con máscaras faciales selladas adecuadamente, con filtros especiales que no dejan pasar los metales pesados.
• El paciente también llevará una mascarilla nasal especial que protege ante la posible entrada de mercurio por las vías respiratorias. Y unas gafas protectoras para que ninguna partícula pueda dañar los ojos.
• Se le colocará al paciente, un dique de nitrilo aislando el diente a tratar del resto de la boca.
• Durante el tratamiento se usará doble eyector, uno para la saliva (por dentro del dique) y otro que retirará el agua con partículas de amalgama de plata (por fuera del dique).
• Es muy recomendable, usar un aspirador de aerosol oral cerca del campo operatorio.
• La eliminación de la obturación de mercurio, se hace con alta velocidad con una fresa fina de carburo y refrigeración para evitar el calor, y minimizar la liberación de vapor o partículas de mercurio. La amalgama se cortará en trozos (lo más grandes posible) que después se desecharán en un contenedor adecuado para ese fin.
En nuestro artículo sobre retirada segura de amalgamas, os contamos más sobre cuándo es necesario cambiar una amalgama.


Es de vital importancia seguir estas pautas de seguridad, ya que, según los estudios más recientes, se demuestra que, el mercurio de las obturaciones de amalgama dental, además de liberarse con actividades diarias como el cepillado, la limpieza, el apretar los dientes, la masticación, etc… también, puede liberarse durante la colocación y extracción de este tipo de obturaciones, por lo que es necesaria la manipulación y tratamientos de forma segura.
Aun siguiendo todas estas pautas, hay que recordar que no se recomienda la extracción de amalgamas a mujeres embarazadas o en periodo de lactancia.

