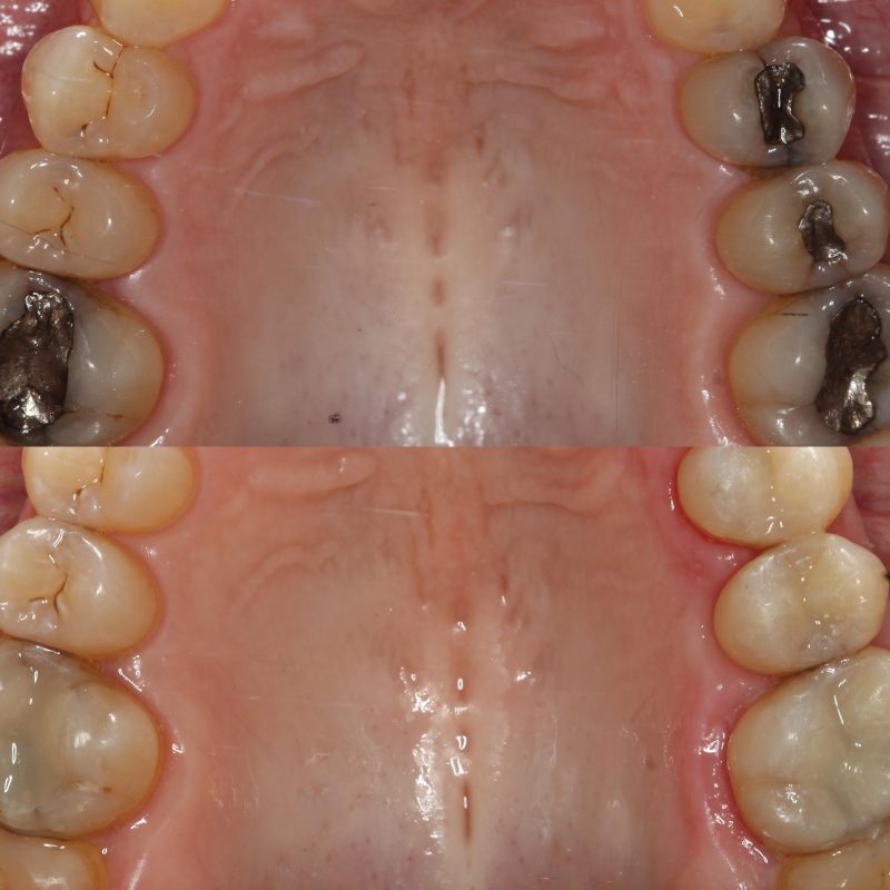
Cuándo cambiar una amalgama dental: señales de que conviene revisarla
Muchas personas llevan empastes de amalgama desde hace años y nunca se han preguntado si siguen en buen estado. Otras sí se lo plantean, pero no saben si deben cambiarlos solo por ser antiguos o únicamente cuando dan problemas. La respuesta corta es esta: no toda amalgama hay que retirarla por sistema, pero sí conviene […]


