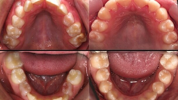
Últimamente se está observando que la mayoría de nuestros niños y niñas tienen los dientes torcidos y que sus maxilares se están desarrollando de forma incorrecta. Aunque los síntomas se pueden observar de forma clara a los 3 años, los dentistas habitualmente recomiendan esperar hasta que el niñ@ sea mayor para ser tratado con aparatos fijos y posiblemente extracciones. Dado que los aparatos fijos son una forma efectiva de enderezar los dientes mecánicamente y los padres desconocen las alternativas, lo más habitual es que se acepte esta recomendación profesional y se posponga el tratamiento hasta que su hijo o hija tenga entre 12 y 14 años. Todos sabemos que esto no resuelve el problema de forma permanente, ya que una vez se retiran los aparatos fijos, lo más habitual es que se produzca una cierta recidiva y los dientes se vuelvan a apiñar, especialmente si el niño o niña no usa los retenedores.
Los dientes apiñados no surgen de la nada, son un síntoma, así como una señal de alerta de que la mandíbula y la cara no se están desarrollando correctamente. Durante más de 25 años de extensa investigación, Myofunctional Research Co. (MRC) ha demostrado por qué tantos niños tienen los dientes torcidos. Las causas principales son los malos hábitos orales como la respiración bucal y la deglución atípica en combinación con la fuerza ejercida por la lengua, las mejillas y los labios. Para prevenir problemas más serios en el futuro, estos malos hábitos pueden y deben ser tratados lo antes posible. La prevención temprana también consigue resultados que no son posibles cuando la cara y la mandíbula ya han parado de crecer.
En base a esta investigación, nuestro servicio de Ortopedia Dentomaxilofacial usa un enfoque diferente a los tratamientos de ortodoncia convencional. MRC ha diseñado el sistema Myobrace® que permite corregir los malos hábitos orales en los niños y niñas en crecimiento y mejorar sus dientes y su desarrollo facial al mismo tiempo. Esto implica que los problemas de ortodoncia pueden resolverse mucho antes que con los tratamientos tradicionales y sin necesidad de aparatos fijos ni extracciones en la mayoría de los casos. Fomentar el desarrollo natural del niño@ al usar el sistema Myobrace® también permite desarrollar todo su potencial genético.


Los aparatos son fáciles de usar durante una hora al día, realizando actividades normales, y durante la noche. Dada la gran demanda de este tipo de soluciones, libres de dolor y estrés, nuestro servicio de Ortopedia Dentomaxilofacial se centra en este tipo de tratamiento y en mejorar el desarrollo facial. El sistema Myobrace® mejora el aspecto de toda la cara y, al ser un tratamiento directivo e interactivo, anima a los niños y niñas a asumir responsabilidades para corregir sus hábitos.
La Dra. Cristina Fuertes Y la Dra. Alba Aspas emplea el sistema ‘Myobrace’ para el tratamiento de Ortodoncia Miofuncional: tratamiento precoz que se realiza cuando el paciente está en crecimiento y existen hábitos parafuncionales de la musculatura perioral, lengua y/o respiración oral, y cuya finalidad consiste en contribuir a la resolución de los mismos para dirigir y/o ampliar el crecimiento de los maxilares y eliminar y/o minimizar maloclusiones existentes.
La Dra. Fuertes es una de las pocas odontólogas en España que posee formación especializada y acreditada en este sistema de tratamiento miofuncional.
Prevenir la necesidad de aparatos fijos es ahora una posibilidad viable. Para más información sobre esta tendencia de distanciarse de las técnicas de ortodoncia tradicionales, se puede consultar www.myobrace.com.

